Connect with us

Health

Nasopharyngeal Carcinoma

Published

on

NASOPHARYNGEAL CARCINOMA

NASOPHARYNGEAL CARCINOMA

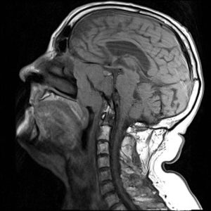
Nasopharyngeal carcinoma. Nasopharyngeal carcinoma, another name for nasopharyngeal cancer (NPC), is an uncommon form of head and neck cancer. The tissue that joins the rear of your mouth to the back of your nose is impacted. This region, known as the nasopharynx, is situated at the base of your skull, directly above the roof of your mouth. Air enters your body through your nose, passes through the nasopharynx, and then enters your throat before entering your lungs.

NASOPHARYNGEAL CARCINOMA

However, the nasopharynx, the tissue that joins the back of your mouth to the back of your nose, is where nasopharyngeal carcinoma, a rare kind of cancer, begins. Although the most typical sign is a painless lump on the back of your neck, it can also impact your ears, leading to persistent ear infections or hearing loss. Additionally, it may result in numbness and face pain. The stage of the cancer determines the specific treatment.

Signs

Also, most often, a lump on the back of the neck is noticed by patients with nasopharyngeal cancer. One or more lumps may be present, and they are often painless. These lumps develop when cancer spreads to your neck’s lymph nodes, causing them to expand.
Other warning indicators include the following:
Ear ringing is known as tinnitus.
loss of hearing.
a sensation of your ears being filled.
persistent infections in the ears.
Headaches.
stuffed nose.
Nosebleeds.
having trouble opening your mouth.
ache in the face.
numbness in the face.
breathing or speech difficulties.

Causes

Meanwhile, the specific cause of nasopharyngeal carcinoma is unknown to experts. However, a number of medical issues and lifestyle choices can raise your risk of contracting the disease, such as:
excessive use of tobacco products or smoking.
frequent and excessive alcohol-containing beverage intake.
Having Epstein-Barr disease. The virus that causes mononucleosis is the same one. People with nasopharyngeal carcinoma frequently have EBV.
consuming salt-cured meals on a regular basis. Individuals who consume a lot of salt-cured meat and fish are more likely to get nasopharyngeal cancer.
Also, risk may be increased by prolonged exposure to smoke and dust.
possessing a familial background. You have a higher chance of getting nasopharyngeal cancer if you have a family member who has it.
treatment

However, The cancer’s stage determines the specific course of treatment. Radiation therapy is one possible treatment for nasopharyngeal cancer.
Chemotherapy.
Chemoradiation is the process of combining radiation with chemotherapy.
targeted treatment.
Surgery. The tumor may occasionally be surgically removed. However, surgery is typically not the primary treatment choice because the nasopharynx is a challenging location to operate on. Surgery, however, may be necessary to remove neck lymph nodes that have not improved with previous therapies.

Prevention

However, finding strategies to control your symptoms, reduce discomfort, and enhance your general quality of life can be aided by your healthcare professional. Typical recommendations consist of:
eating a balanced, healthful diet.
engaging in meditation or mindfulness exercises.
joining a support group in the area.

 

 

Summary

Also, one uncommon kind of cancer of the head and neck is nasopharyngeal carcinoma. Although the exact cause is unknown, experts think that high alcohol consumption and tobacco use raise a person’s risk. They also think that a biological family history of the illness could be a factor. If you’re worried that you might be in danger, speak with your healthcare professional. They will analyze your risk, look at your general health, and offer strategies to lower it.

 

Continue Reading
Click to comment

Leave a Reply

Your email address will not be published. Required fields are marked *

Health

Stress coping mechanisms

Published

on

Stress coping mechanisms. Although stress is an unavoidable aspect of life, you may develop stronger resilience in the face of hardship and learn how to deal with stresses more skillfully by using appropriate stress management practices. You may create a solid basis for stress management and general well-being by integrating mindfulness meditation, deep breathing techniques, exercise, a healthy lifestyle, social support, and efficient time management into your daily routine.

STRESS COPING MECHANISMS

Stress has become a regular companion for many people in today’s fast-paced society, affecting both mental and physical well-being. However, preserving general health and quality of life requires efficient stress management. Fortunately, there are a number of stress-reduction strategies that can assist people in managing their stress and developing resilience in the face of adversity. We’ll look at six of the most crucial stress-reduction strategies in this post so you can deal with stressors more easily and confidently.

1. Mindfulness Meditation;

Mindfulness meditation involves bringing your attention to the present moment without judgment, allowing you to observe your thoughts, feelings, and bodily sensations with acceptance and openness. Regular practice of mindfulness meditation has been shown to reduce stress, anxiety, and depression while promoting relaxation and emotional well-being. Set aside time each day to practice mindfulness meditation, even if it’s just for a few minutes, and gradually increase the duration as you become more comfortable with the practice.

2. Deep Breathing Exercises;

Deep breathing exercises are a simple yet powerful way to activate the body’s relaxation response and reduce stress levels. Practice deep breathing by taking slow, deep breaths in through your nose, allowing your abdomen to expand fully, and then exhaling slowly through your mouth. Focus on the sensation of the breath as it enters and leaves your body, letting go of tension with each exhale. Incorporate deep breathing exercises into your daily routine, especially during times of heightened stress or tension.

3. Physical Activity;

Stress coping mechanisms

Stress coping mechanisms

Regular physical activity is an effective way to combat stress and improve overall well-being. Exercise releases endorphins, the body’s natural mood-boosting chemicals, which can help reduce stress, anxiety, and depression. Find activities that you enjoy, whether it’s walking, jogging, swimming, yoga, or dancing, and make them a regular part of your routine. Aim for at least 30 minutes of moderate-intensity exercise most days of the week to reap the full benefits of physical activity for stress management.

4. Healthy Lifestyle Habits;

Maintaining a healthy lifestyle can help buffer the effects of stress on the body and mind. Eat a balanced diet rich in fruits, vegetables, whole grains, lean proteins, and healthy fats to nourish your body and support optimal functioning. Prioritize regular sleep and aim for 7-9 hours of quality sleep each night to promote rest and rejuvenation. Limit consumption of caffeine, alcohol, and nicotine, as these substances can exacerbate stress and interfere with sleep quality.

5. Social Support;

Stress coping mechanisms

Stress coping mechanisms

 

Try a variety of methods to see what suits you the best, and keep in mind that practice and consistency are essential to developing effective stress management practices. You can acquire the skills and techniques required to prosper in the face of life’s obstacles with commitment and tenacity.

 

 

 

Seeking support from friends, family members, or a support network can provide comfort, encouragement, and perspective during times of stress. Connecting with others who understand and empathize with your experiences can help alleviate feelings of isolation and loneliness. Reach out to trusted individuals when you need to talk, vent, or seek advice, and be willing to offer support in return. Building and maintaining strong social connections is essential for emotional resilience and stress management.

6. Time Management and Prioritization;

Stress coping mechanisms

Stress coping mechanisms

Effective time management and prioritization skills can help reduce feelings of overwhelm and improve productivity, leading to decreased stress levels. Break tasks down into manageable steps, set realistic goals, and create a schedule or to-do list to help you stay organized and focused. Prioritize tasks based on urgency and importance, and delegate responsibilities when possible. Remember to schedule time for relaxation, leisure activities, and self-care to maintain balance and prevent burnout.

 

 

Summary

Try a variety of methods to see what suits you the best, and keep in mind that practice and consistency are essential to developing effective stress management practices. You can acquire the skills and techniques required to prosper in the face of life’s obstacles with commitment and tenacity.

 

 

 

Continue Reading

Health

Health hazards of dust

Published

on

Health hazards of dust. Dust may appear to be a minor annoyance, but its negative impacts on health should not be disregarded. Dust exposure can have a variety of negative consequences on people’s health, including respiratory issues, allergic reactions, and skin irritation. People can lower health risks and create healthier indoor and outdoor settings for themselves and their family by taking proactive steps to reduce dust exposure, such as routine cleaning, adequate ventilation, and wearing personal protection equipment when needed.

HEALTH HAZARDS OF DUST

Dust is more than simply an annoyance, but it also poses serious health hazards that can affect people of all ages. The impact of dust on health can be extensive and potentially serious, ranging from skin irritation to respiratory issues. This article will examine the different ways that dust exposure can impact health and go over measures to reduce these hazards.

1. Respiratory Issues;

One of the most well-known effects of dust on health is its impact on the respiratory system. Inhaling dust particles can irritate the airways, leading to symptoms such as coughing, wheezing, and shortness of breath. For individuals with pre-existing respiratory conditions like asthma or chronic obstructive pulmonary disease (COPD), exposure to dust can exacerbate symptoms and trigger respiratory flare-ups.

2. Allergic Reactions;

Dust is a common allergen that can trigger allergic reactions in susceptible individuals. Dust mites, microscopic creatures found in household dust, are a primary source of allergens. When inhaled or in contact with the skin, dust mite allergens can cause symptoms such as sneezing, runny or stuffy nose, itchy eyes, and skin rashes. Allergic reactions to dust can significantly impact quality of life and may require medical intervention to manage symptoms effectively.

3. Skin Irritation;

Health hazards of dust

Health hazards of dust

In addition to respiratory and allergic reactions, dust can also irritate the skin upon contact. Dust particles can contain various substances, including chemicals, pollutants, and microorganisms, which may irritate sensitive skin or cause allergic dermatitis. Prolonged exposure to dust without proper protective measures can lead to dryness, redness, itching, and inflammation of the skin.

4. Eye Irritation;

Dust particles can irritate the delicate tissues of the eyes, leading to symptoms such as redness, itching, burning, and excessive tearing. Individuals who work in environments with high levels of dust, such as construction sites or industrial settings, are particularly susceptible to eye irritation. Proper eye protection, such as safety goggles or glasses, is essential to prevent dust-related eye injuries and discomfort.

5. Respiratory Infections;

Health hazards of dust

Health hazards of dust

In addition to irritating the respiratory system, certain types of dust can also harbor bacteria, viruses, and other pathogens that can cause respiratory infections. Prolonged exposure to contaminated dust can increase the risk of respiratory illnesses such as bronchitis, pneumonia, and sinus infections. Practicing good hygiene, including frequent handwashing and avoiding touching the face, can help reduce the risk of respiratory infections caused by dust exposure.

 

 

Summary

Inhaling dust, especially tiny particles (PM10/PM2.5), can lead to serious health risks, such as lung disorders (silicosis, bronchitis), respiratory conditions (asthma, COPD), and cardiovascular concerns. While typical household dust can cause allergies and infections, long-term exposure to dangerous dusts can result in lung scarring and cancer.

 

Continue Reading

Health

Chest dryness causes

Published

on

Chest dryness causes. Your general well-being and day-to-day activities may be negatively impacted by an uncomfortable and worrisome feeling of dryness in your chest. Although this feeling could seem perplexing, there are a number of possible causes. We’ll examine five typical causes of chest dryness in this post, together with doable solutions to ease pain and support respiratory health.

CHEST DRYNESS CAUSES

Respiratory conditions like asthma, bronchitis, viral infections, or environmental irritants are frequently the cause of chest dryness (tightness or a dry cough). Additionally, it may result from postnasal drip, GERD (acid reflux), or more serious illnesses like pneumonia or heart problems. Allergies, drug side effects, and dry skin (xeroderma) are additional factors.

The reasons for experiencing chest dryness include:

1. Dehydration:

One of the primary reasons for feeling dryness in the chest is dehydration. When the body lacks sufficient fluids, the mucous membranes lining the respiratory tract can become dry and irritated. This can lead to discomfort and a parched sensation in the chest area. To combat dehydration, ensure you’re drinking an adequate amount of water throughout the day, particularly during hot weather or periods of physical activity.

2. Respiratory Infections:

Respiratory infections, such as bronchitis or pneumonia, can cause inflammation and irritation in the respiratory tract. Alongside symptoms like coughing and congestion, these infections may also result in chest dryness. The excessive production of mucus during an infection can further contribute to the feeling of dryness. Rest, hydration, and following your healthcare provider’s treatment recommendations can help alleviate symptoms and promote recovery.

3. Allergies:

Chest dryness causes

Chest dryness causes

Allergic reactions to environmental triggers like pollen, dust, or pet dander can inflame the respiratory tract, leading to symptoms such as chest tightness, wheezing, and dryness. Allergens can irritate the mucous membranes in the chest, causing them to become dry and uncomfortable. Minimizing exposure to allergens and using air purifiers or allergy medications as directed by your healthcare provider can help manage allergy-related chest dryness.

4. Dry Air:

Exposure to dry air, particularly in environments with low humidity, can dry out the mucous membranes in the respiratory tract, leading to the dryness of chest. This often occurs during colder months when indoor heating systems are in use. Using a humidifier to add moisture to the air in your home or workplace can help alleviate dryness and maintain respiratory health.

5. Medications:

Chest dryness causes

Chest dryness causes

Certain medications, such as antihistamines, decongestants, and inhalers used to manage respiratory conditions like asthma, can have drying effects on the respiratory tract. Prolonged use of these medications may lead to dryness as a side effect. If you’re experiencing chest dryness due to medication, consult your healthcare provider to discuss potential alternatives or adjustments to your treatment plan.

 

 

Summary

It is imperative to seek medical attention for appropriate evaluation and treatment if the condition continues or is accompanied by severe symptoms. You can alleviate it and enhance your general wellbeing with proactive treatment and care.

 

 

 

 

 

 

 

Continue Reading

Trending

Copyright © 2024 Simplexplainer.com. Designed by mypworld@gmail.com