Periodontitis analysis. A significant dental condition that requires proactive treatment and attention is periodontitis. People can greatly lower their risk of acquiring this severe gum disease by being aware of its causes, identifying its symptoms, and adopting preventive actions. Maintaining oral health, maintaining a bright smile, and avoiding the potentially serious effects of untreated periodontitis all depend on early intervention and a dedication to proper oral hygiene. A lifetime of healthy smiles is promoted by routine dental examinations, which continue to be essential in the fight against gum disease.
PERIODONTITIS ANALYSIS
The alveolar bone and other tissues that support teeth are destroyed by periodontitis, a chronic inflammatory disease brought on by bacterial biofilm. Clinical attachment loss (CAL), pocket depths greater than 4 mm, bleeding on probing (BOP), and radiographic bone loss are used to make the diagnosis. Scaling and root planing are two methods used in treatment to reduce biofilm.
What is Periodontitis
Periodontitis is an advanced stage of gum disease characterized by inflammation of the structures surrounding the teeth. It often originates from untreated gingivitis, where bacterial plaque buildup on teeth triggers inflammation of the gums. As periodontitis progresses, it can lead to the formation of pockets between the teeth and gums, which become breeding grounds for bacteria.
the common causes of periodontitis:

1. Poor Oral Hygiene:
Inadequate brushing and flossing allow plaque—a sticky film of bacteria—to accumulate on teeth. Over time, this plaque hardens into tartar, leading to inflammation of the gums, the initial stage of gum disease (gingivitis), which can progress to periodontitis if not addressed.
2. Smoking:
Tobacco use, particularly smoking, is a significant risk factor for periodontitis. Smoking weakens the immune system, making it harder for the body to fight off infections, including those affecting the gums.
3. Genetics:

Genetic factors can influence an individual’s susceptibility to gum disease. Some people may be genetically predisposed to develop periodontitis, even with good oral hygiene practices.
4. Diabetes:
Individuals with diabetes are at an increased risk of developing periodontitis. The fluctuating blood sugar levels associated with diabetes can impair the body’s ability to combat infections, including those affecting the gums.
5. Certain Medications:

Some medications, like certain antihypertensive drugs and anticonvulsants, can contribute to gum tissue changes, making it easier for bacteria to cause inflammation and infection.
7. Immune System Compromises:
Conditions or medications that compromise the immune system, such as HIV/AIDS or immunosuppressive drugs, increase the risk of infections, including those affecting the gums.
Recognizing the Symptoms:
1. Red, Swollen Gums:

• Explanation: Inflammation is a key sign of gum disease. Healthy gums should appear pink and firm, not red and swollen.
2. Bleeding During Brushing or Flossing:
• Explanation: Bleeding gums indicate inflammation. Healthy gums should not bleed during regular oral hygiene practices.
3. Persistent Bad Breath:
The buildup of bacteria in the mouth produces toxins that contribute to bad breath, a common symptom of gum disease.
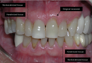
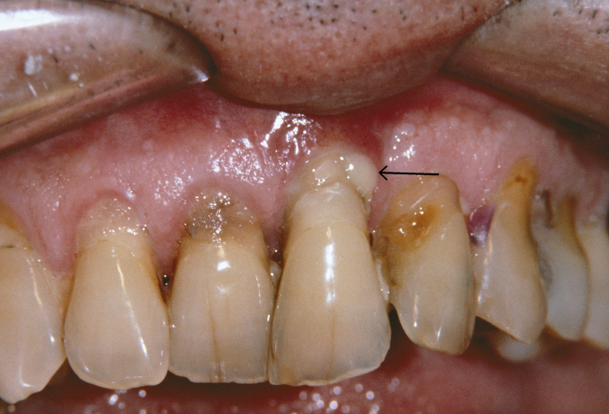
4. Receding Gums:

Gums that are pulling away from the teeth can create pockets where bacteria thrive, leading to further infection.
5. Changes in Tooth Alignment:
As periodontitis progresses, teeth may shift or become loose due to the destruction of supporting structures.
Prevention Strategies;
Routine dental check-ups for professional cleanings are essential preventive measures.
Lifestyle changes, such as quitting smoking.
Maintaining a balanced diet, also contribute to overall oral health.

PERIODONTITIS ANALYSIS
. Aloe Vera Gel:

PERIODONTITIS ANALYSIS
How to: Apply a small amount of pure aloe vera gel to your gums. Aloe vera has anti-inflammatory properties that may help soothe irritated gums.
5. Probiotics:
• How to: Consume foods rich in probiotics, like yogurt with live cultures. Probiotics can contribute to a healthier balance of bacteria in the mouth. Stay tuned for more updates.
Summary
A serious threat to oral health, periodontitis is a severe kind of gum disease that, if unchecked, can result in tooth loss and other consequences. To assist people better understand and deal with this widespread dental issue, this article explores the causes, symptoms, prevention, and treatment of periodontitis.